Implante Dentário
Sobre Implante Dentário
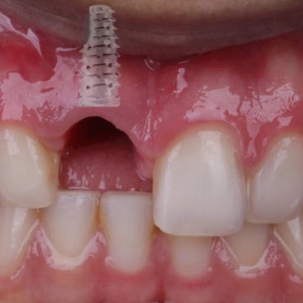
O Implante Dentário é a base para a reabilitação oral moderna. Na Unique Recife, utilizamos tecnologia de ponta e materiais de alta qualidade para substituir dentes ausentes ou danificados. Sob a orientação da Dentista especialista, Dra. Karla Vasconcelos, nosso objetivo é restaurar completamente sua funcionalidade mastigatória e a harmonia do sorriso. Cada procedimento é cuidadosamente adaptado às necessidades do paciente, sendo a solução ideal para um sorriso saudável e confiante.
Como funciona
O procedimento de Implantes Dentários começa com o planejamento detalhado da dentista especialista, Dra. Karla Vasconcelos. Em seguida, é feita a colocação do pino de titânio biocompatível na mandíbula, que funciona como a nova raiz do dente. Após a integração com o osso, uma coroa personalizada é fixada sobre o pino, finalizando a substituição. Na Unique Recife, em Pina, esse tratamento é realizado em etapas para garantir o melhor resultado funcional e estético, devolvendo seu sorriso natural!
Aparência natural e personalizada
As coroas são feitas sob medida, combinando com o cor e formato dos dentes naturais.
Fixação estável e segura
O implante se integra ao osso, oferecendo estabilidade semelhante a um dente natural.
Alta durabilidade
Com cuidados adequados, os implantes podem durar décadas.
Preservação óssea
Estímulo ao osso, prevenindo a reabsorção óssea comum após a perda dentária.
Melhora da função mastigatória
Restaura a capacidade de mastigar com confiança e conforto.


Para quem é indicado
O implante dentário é recomendado para adultos que:
- Têm 18 anos ou mais
- Perderam um ou mais dentes devido a cáries, traumas ou doenças periodontais.
- Dsejam uma solução fixa e estética em vez de dentaduras removíveis.
- Possuem boa saúde geral e estrutura adequada para suportar o implante.
- Deseja uma solução permanente para substituir dentes ausentes
Se você deseja restaurar seu sorriso com implantes dentários seguros e duradouros, agende sua consulta na Unique Recife. Nossa dentista especialista, Dra. Karla Vasconcelos fará uma avaliação completa da sua saúde bucal, entenderá seus objetivos e criará um plano de tratamento personalizado para devolver função, estética e confiança ao seu sorriso.
Dentista Especialista
Dra. Karla vasconcelos
Com 15 anos de experiência e uma sólida formação como Mestre e Especialista em Ortodontia, nossa dentista é a referência que você procura em Recife. Uma profissional pós-graduada em reabilitação oral e odontologia estética, é altamente qualificada para procedimentos como Implante dentário e reabilitação oral completa — assegura a união da mais alta precisão técnica com um resultado estético de excelência. Além de sua atuação como Proprietária da Clínica Unique, ela também atua como Professora e Coordenadora do curso de Aperfeiçoamento em Ortodontia na ABO (Associação Brasileira de Odontologia). Essa liderança clínica e acadêmica garante um atendimento individualizado e um compromisso total com a transformação do seu sorriso. Agende sua consulta no Riomar Trade Center e comece sua jornada rumo ao sorriso perfeito!
Dê o próximo passo e agende uma consulta hoje mesmo
* Não aceitamos planos de saúde
FAQ
Respostas rápidas para perguntas que você possa ter
Qual é a diferença entre Implante e Prótese Convencional?
A diferença é a estabilidade e a preservação. A prótese convencional (como dentaduras) apoia-se em dentes vizinhos ou na gengiva. Já o Implante Dentário atua como uma raiz artificial de titânio, sustentando a nova prótese diretamente no osso. Isso significa que ele não sobrecarrega os seus dentes vizinhos e oferece uma sensação de mastigação muito mais segura e natural.
Quanto tempo leva o tratamento completo de Implante Dentário?
O tempo total varia, mas a etapa principal é a Osseointegração (o tempo que o pino leva para se fundir ao osso), que geralmente dura de 3 a 6 meses antes de colocarmos a prótese definitiva. A Dra. Karla Vasconcelos, na Unique Recife, fará um planejamento preciso para otimizar esse tempo, que pode ser estendido se houver necessidade de enxerto ósseo prévio.
Qual é a durabilidade de um Implante Dentário?
A durabilidade de um Implante Dentário é excelente: com bons cuidados e manutenção, ele pode durar décadas, e até a vida toda. Os implantes são desenvolvidos para serem uma solução permanente. O segredo para o sucesso a longo prazo está na precisão da técnica utilizada pela Dentista especialista, Dra. Karla Vasconcelos, e nas suas consultas periódicas de manutenção.
Como é o pós-operatório do Implante e quais os cuidados cruciais?
O pós-operatório é simples e monitorado. Os cuidados essenciais são:
- Evitar alimentos duros ou quentes nos primeiros dias.
- Fazer higiene suave na área (conforme orientação).
- Usar compressas frias para controlar o inchaço.
- Suspender o cigarro e álcool, pois prejudicam a cicatrização.
- Realizar o retorno periódico para acompanhamento na clínica.
Os materiais dos implantes dentários são seguros?
Sim, totalmente! Os Implantes Dentários são feitos de materiais biocompatíveis, garantindo que seu organismo não terá rejeição. O material padrão-ouro na Unique Recife é o titânio, que é extremamente resistente e promove a osseointegração (a união com o osso). Nossa Dentista especialista, Dra. Karla Vasconcelos, indicará o material mais seguro e duradouro – seja titânio ou a zircônia (opção estética superior) – para o seu tratamento em Recife
Vale a pena investir em Implante Dentário na Unique Recife?
Sim, vale cada investimento! O Implante Dentário proporciona função mastigatória completa, estabilidade inigualável e uma estética natural que preserva seu osso. É uma solução de longo prazo que garante excelente custo-benefício e devolve sua confiança para sorrir, falar e comer.
Recupere a estabilidade e a confiança do seu sorriso! Agende sua avaliação de Implante Dentário com a Dra. Karla Vasconcelos na Unique Recife, em Pina, localizada no RioMar Trade Center!

